Clinical Cases

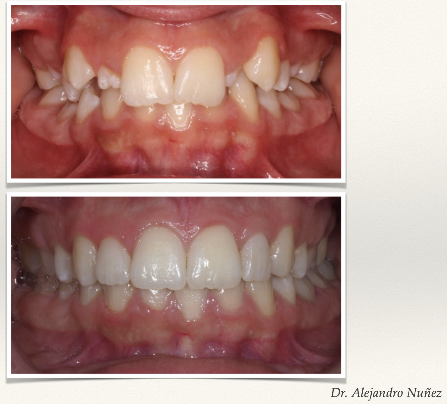
Case 1

This patient came to us with a bite where the upper teeth were positioned too far forward (Class II), a deep bite, crowding in the upper arch, and not enough space for the upper canines to erupt properly. The upper dental midline was also shifted slightly to the right.

Although removing teeth was discussed as a possible option, the patient’s parents preferred a non-extraction approach.

To respect this preference while still achieving a healthy and stable result, we chose a maxillary distalisation strategy. This means gently moving the upper teeth backward to create space, allowing proper alignment of the canines, correcting the bite, and improving the symmetry of the smile.

Treatment goals included:

  • Creating space without removing teeth

  • Aligning all upper teeth, including the canines

  • Correcting the deep bite

  • Centering the dental midline

  • Achieving a balanced, stable bite

Treatment time: 24 months

Final result:
The upper dental arch is now well aligned, the bite has been corrected, the midlines are centered, and a stable Class I canine relationship was achieved.

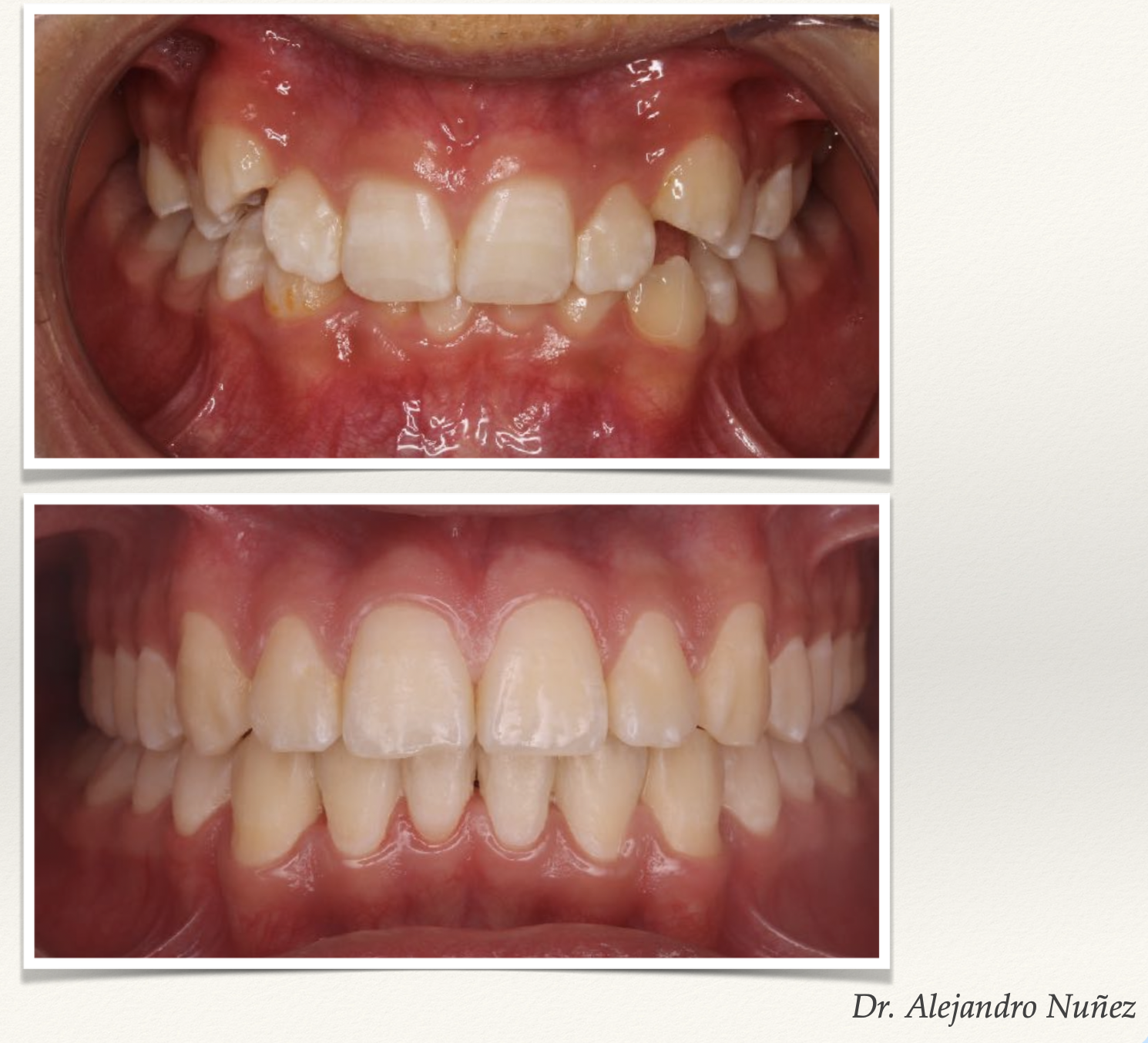
Case 2

This patient presented with a Class II bite, missing teeth (agenesis) and very small upper lateral incisors, making the case more complex than usual.

We carefully aligned the teeth, created space, and waited for a permanent tooth to erupt naturally before incorporating it into the smile. Temporary restorations were used at the beginning to allow precise orthodontic treatment, followed by final aesthetic restorations once the bite and alignment were completed.

Treatment goals achieved:

  • Proper alignment of both arches

  • Controlled space management for missing and small teeth

  • Improved bite and overbite correction

  • Stable, functional, and aesthetic smile

Key to success: orthodontics + restorative dentistry working together